Dr A. Frey, chirurgien-dentiste, 21 place Broglie Implantologie dentaire / implant ZimVie Astra Dentsply Straumann Parodontologie / soins des gencives
 Dr A. Frey, chirurgien-dentiste, 21 place BroglieImplantologie dentaire / implant ZimVie Astra Dentsply StraumannParodontologie / soins des gencives 

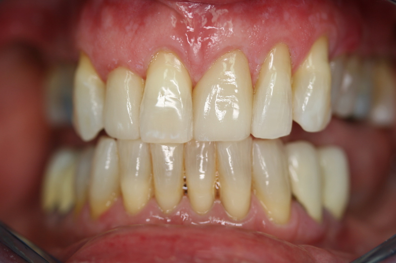
Facettes e.max Ceram,                              Ivoclar Vivadent, Liechtenstein

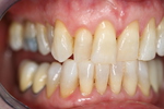
Ex. :  application de deux facettes en céramiques sur l'insisive latérale supérieure droite et sur l'incisive centrale supérieure gauche, à fin d'harmoniser l'alignement du bloc incisivo-canin. La patiente a réalisé au préalable et avant la réalisation des facettes,  un éclaircissement de ses dents sur les deux arcades. Ainsi, nous avons pu également travailler l'harmonie sur les teintes.

 

 

Version imprimable | Plan du site
© Dr A Frey, chirurgien-dentiste